A dental cleaning solution that helps remove tartar and supports oral health care for residents in Cau Giay – My Dinh – Tay Ho areas, as well as foreigners living or traveling in Hanoi who are looking for an English-speaking dental clinic in Vietnam.
Teeth scaling is an important dental care procedure that helps remove plaque and tartar that accumulate over time on the tooth surface and beneath the gums. If not cleaned regularly, tartar can create an environment where bacteria easily grow, negatively affecting oral health.
At Viet Bi Dental Clinic, the new technology teeth scaling service is performed using modern dental equipment following international standards, helping to gently remove tartar while supporting improved oral health.
What is Tartar?
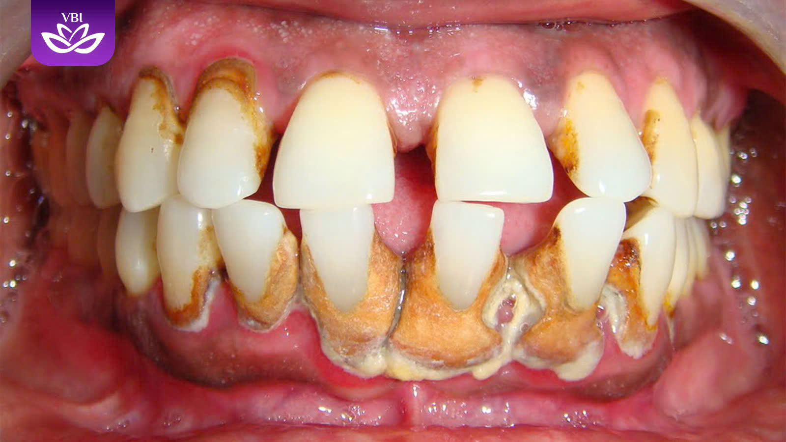
Tartar is hardened plaque that forms on teeth due to the accumulation of food debris, bacteria, and minerals in saliva over time. As time passes, this layer of plaque hardens and adheres firmly to the tooth surface or below the gum line.
Tartar can appear in light yellow, brown, or darker colors depending on an individual’s eating habits and oral hygiene.
Who Should Consider Teeth Scaling?
You should visit a dental clinic if you notice the following signs:
- Yellow or brown plaque buildup on teeth
- Persistent bad breath
- Bleeding gums when brushing
- Swollen or sensitive gums
- Feeling that teeth are not clean despite daily brushing
Early dental examinations allow dentists to assess oral health conditions and recommend appropriate care.
This service is suitable for local residents as well as foreigners living or traveling in Vietnam who want professional dental cleaning from trusted dentists in Hanoi.
Why Should You Remove Tartar Regularly?
Regular teeth scaling helps support oral health care and reduce the risk of common dental problems.
Some benefits of teeth scaling include:
- Removing plaque and tartar buildup on teeth
- Helping reduce the risk of gum inflammation
- Minimizing bad breath caused by bacteria
- Keeping the mouth cleaner and easier to maintain
- Supporting long-term oral health
Many dental experts recommend scaling your teeth approximately every 6 months to maintain good oral hygiene.
What is New Technology Teeth Scaling?
Today, many dental clinics use ultrasonic technology for tartar removal. Ultrasonic devices create gentle vibrations that help loosen tartar from the tooth surface without the need for strong manual force.
This modern technology helps make the teeth scaling process:
- Faster
- More comfortable
- More convenient for patients
At Viet Bi Dental Clinic, ultrasonic scaling equipment is applied according to modern dental technology used in international dental practices, making it suitable for both Vietnamese patients and international visitors seeking dental care in Vietnam.
Teeth Scaling Procedure at Viet Bi Dental Clinic
The teeth scaling process generally includes the following steps:
1. Dental Examination
The dentist checks the level of tartar, gum condition, and overall oral health.
2. Ultrasonic Tartar Removal
Dental equipment is used to remove tartar from the tooth surface and around the gum line.
3. Cleaning and Polishing
Teeth are cleaned and polished to help reduce the likelihood of plaque accumulating quickly again.
4. Oral Care Guidance
The dentist provides instructions on proper oral hygiene and recommends when to schedule the next dental visit.
Why Do Many Patients Choose Teeth Scaling at Viet Bi Dental Clinic?
Experienced Dental Team
The dentists at Viet Bi Dental Clinic are professionally trained and experienced in oral health care and are considered trusted dentists by both local and international patients in Vietnam.
English-Speaking Dental Clinic
Our dentists and staff can communicate clearly in English, making the clinic comfortable for foreigners living in Vietnam or international tourists visiting Hanoi who need dental treatment.
Modern Dental Equipment
The clinic uses advanced dental equipment and technology following global standards, helping improve treatment efficiency and patient comfort.
Clear Treatment Process
Patients receive consultation and dental examination before the procedure to ensure appropriate dental care.
Convenient Locations in Hanoi
Suitable for patients living or working in:
- Cau Giay
- My Dinh
- Tay Ho
These areas are also popular among expats and international residents in Hanoi.
Where Should Foreigners Living or Traveling in Vietnam Get Dental Treatment?
Many international residents and travelers in Vietnam often look for dental clinics that offer:
- Clear English communication
- Experienced and trusted dentists
- Modern technology following international standards
- Transparent treatment procedures
At Viet Bi Dental Clinic, we regularly serve foreigners living in Hanoi and international visitors traveling in Vietnam, providing professional dental care in a comfortable and internationally friendly environment.
How Much Does Teeth Scaling Cost?
The cost of teeth scaling depends on the level of plaque and tartar buildup for each patient.
At Viet Bi Dental Clinic, the cost of teeth scaling is only 25 USD.
Many international visitors choose dental care in Vietnam because it offers high-quality treatment at a more affordable price compared with many other countries.
Book a Teeth Scaling Appointment in Cau Giay – My Dinh – Tay Ho
If you are looking for modern teeth scaling services in Hanoi, schedule a dental visit so the dentists can examine your oral condition and provide appropriate recommendations.
📞 Hotline: 0962340588
Addresses:
- Branch 1: 88B Nguyen Huu Huan, Hoan Kiem, Hanoi
- Branch 2: 30 Tran Thai Tong, Cau Giay, Hanoi
- Branch 3: 115 Xa Dan, Dong Da, Hanoi
- Branch 4: 187 To Hieu, Ha Dong, Hanoi
Facebook: https://www.facebook.com/nhakhoavietbi
T2 - CN 8:00 - 19:00







Bài viết liên quan
NATURAL DENTAL CROWNS – MINIMAL OR NO TOOTH REDUCTION, MAXIMUM PRESERVATION OF NATURAL TEETH | COSMETIC DENTAL CROWNS IN CAU GIAY, MY DINH, AND TAY HO
A restorative dental solution to improve your smile and chewing function Cosmetic dental crowns are...
DENTAL IMPLANTS COMBINED WITH COSMETIC CROWNS | PERMANENT TOOTH REPLACEMENT IN CAU GIAY, MY DINH, AND TAY HO
Authentic Implant Systems – Standardized Medical Procedures – Restoring Both Aesthetics and Chewing Function Tooth...
How Much Does Teeth Whitening Cost in Cau Giay, My Dinh, and Tay Ho?
Standardized Medical Procedure – Transparent Pricing Teeth whitening is a dental treatment that helps improve...
VIET BI DENTAL CLINIC – A LEADING INVISALIGN PROVIDER IN CAU GIAY, MY DINH, AND TAY HO
Experienced Orthodontists – Modern Technology Invisalign is an orthodontic treatment that uses clear aligners to...
Root Canal Treatment in Just One Appointment – Safe & Time-Efficient | Serving Cau Giay, My Dinh, and Tay Ho
Fast pain relief – Standardized medical procedure Root canal treatment (endodontic therapy) is necessary when...
Luxury Tooth Gem Experience in Hà Nội | Viet Bi Premium Dental Clinic
Shine With Style at Viet Bi Premium Dental Clinic Looking for a unique way to...