Tartar removal is a dental procedure that eliminates hardened plaque firmly attached to the tooth surface and beneath the gumline. Tartar forms from bacteria, food debris, and minerals in saliva that accumulate over time. If not removed, it becomes an ideal environment for bacterial growth, leading to gum inflammation, bad breath, and serious periodontal diseases. Therefore, tartar removal not only cleans the teeth but also plays an essential role in preventing oral diseases and protecting long-term health.
HOW DOES TARTAR FORM?
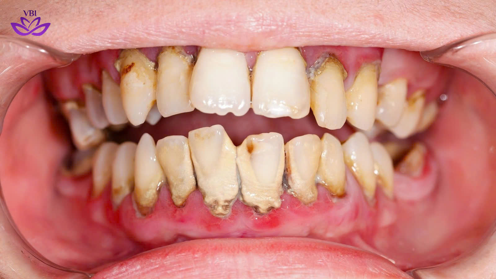
After eating, bacterial plaque develops on the tooth surface. If oral hygiene is inadequate, this plaque combines with minerals in saliva and hardens into tartar within just a few days. Tartar commonly accumulates on the inner surfaces of the lower front teeth and the outer surfaces of the upper molars, where salivary glands are most active.
HARMFUL EFFECTS OF TARTAR ON ORAL HEALTH
Tartar not only affects aesthetics but is also a major cause of serious oral health problems. Bacterial buildup within tartar can lead to gum inflammation, bleeding gums, and persistent bad breath. If left untreated, gingivitis may progress into periodontitis, causing alveolar bone loss, weakening teeth, and eventually tooth loss. In addition, oral bacteria may negatively affect overall health.
WHEN IS TARTAR REMOVAL NECESSARY?
Dental experts recommend removing tartar every 3 to 6 months to control bacteria and prevent periodontal disease. Gums that bleed easily during brushing may signal gum inflammation caused by tartar buildup. Persistent bad breath despite proper oral hygiene may also originate from bacteria within tartar. If you notice yellow or brown deposits around the gumline, you should visit a dental clinic for early cleaning. Additionally, tartar removal before orthodontic treatment, dental crowns, or fillings helps ensure a bacteria-free oral environment and improves treatment outcomes.
DOES TARTAR REMOVAL HURT?
Modern ultrasonic scaling technology makes tartar removal gentle, quick, and virtually painless. In cases of gum inflammation or long-standing tartar buildup, you may feel slight sensitivity; however, this sensation subsides quickly after treatment.
BENEFITS OF REGULAR TARTAR REMOVAL
Routine tartar removal helps eliminate plaque and harmful bacteria, prevent gingivitis and periodontitis, improve breath freshness, and maintain strong teeth for the long term. It also enables early detection of potential oral issues for timely treatment.

Regular tartar removal is a simple yet essential step in maintaining long-term oral health. If you have not had tartar removed for a while or are experiencing symptoms such as bleeding gums, bad breath, or hardened deposits near the gumline, schedule a dental visit promptly for consultation and care.
Viet Bi Premium Dental Clinic proudly provides safe and gentle oral care services with experienced dentists and modern equipment, helping you maintain a healthy, confident smile every day.
Hotline: 086 566 8066
Facebook: https://www.facebook.com/nhakhoavietbi
Clinic Locations:
- Branch 1: 88B Nguyen Huu Huan, Hoan Kiem, Hanoi
- Branch 2: 30 Tran Thai Tong, Cau Giay, Hanoi
- Branch 3: 115 Xa Dan, Dong Da, Hanoi
- Branch 4: 187 To Hieu, Ha Dong, Hanoi
T2 - CN 8:00 - 19:00





Bài viết liên quan
NEW TECHNOLOGY TEETH SCALING IN CAU GIAY – MY DINH – TAY HO| SAFE AND GENTLE TARTAR REMOVAL
A dental cleaning solution that helps remove tartar and supports oral health care for residents...
NATURAL DENTAL CROWNS – MINIMAL OR NO TOOTH REDUCTION, MAXIMUM PRESERVATION OF NATURAL TEETH | COSMETIC DENTAL CROWNS IN CAU GIAY, MY DINH, AND TAY HO
A restorative dental solution to improve your smile and chewing function Cosmetic dental crowns are...
DENTAL IMPLANTS COMBINED WITH COSMETIC CROWNS | PERMANENT TOOTH REPLACEMENT IN CAU GIAY, MY DINH, AND TAY HO
Authentic Implant Systems – Standardized Medical Procedures – Restoring Both Aesthetics and Chewing Function Tooth...
How Much Does Teeth Whitening Cost in Cau Giay, My Dinh, and Tay Ho?
Standardized Medical Procedure – Transparent Pricing Teeth whitening is a dental treatment that helps improve...
VIET BI DENTAL CLINIC – A LEADING INVISALIGN PROVIDER IN CAU GIAY, MY DINH, AND TAY HO
Experienced Orthodontists – Modern Technology Invisalign is an orthodontic treatment that uses clear aligners to...
Root Canal Treatment in Just One Appointment – Safe & Time-Efficient | Serving Cau Giay, My Dinh, and Tay Ho
Fast pain relief – Standardized medical procedure Root canal treatment (endodontic therapy) is necessary when...